九旬老人血管堵95%,“金刚钻”磨掉血管水垢救心
93岁的冯伯(化名)因严重冠脉钙化引发胸痛、心脏供血不足,一度生命受威胁,而我院心血管内科一区冠状动脉内膜旋磨术的成功实施,帮他打通了堵塞的“心脉”,最终顺利康复。其实,冠脉钙化在高龄人群中并不少见,却因认知不足常被忽视,今天就结合冯伯的案例,解读这种老年高危心脏问题及对应的微创治疗技术。

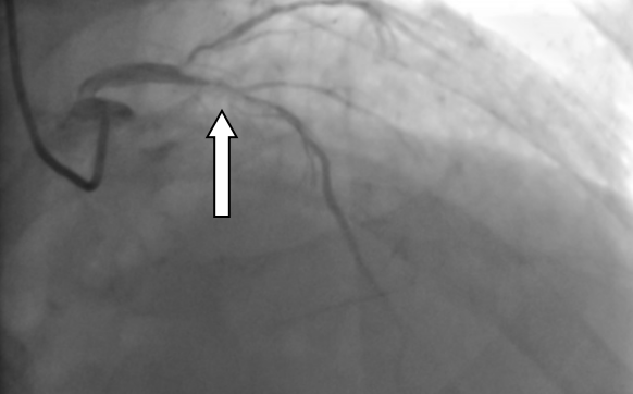
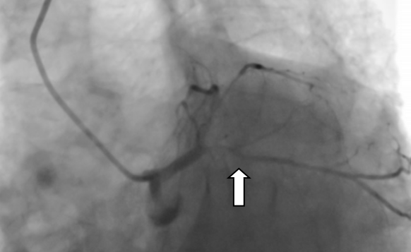
▲冠状动脉内膜旋磨术进行中。 通俗说钙化:血管里的“水垢”是什么? 提到冠心病,大家并不陌生,但冠脉钙化是什么?简单来说,就像家里用了几十年的水管,内壁会慢慢结满厚厚的水垢,血管也会因年龄增长、代谢变化,在血管壁上形成坚硬的钙化斑块——这种斑块质地坚硬,会不断变厚、缩小血管管腔,导致心脏供血不足,严重时会引发胸痛、心肌缺血,甚至危及生命,对高龄老人来说,风险更为突出。 九旬老人的难题:血管堵得只剩细缝 冯伯的案例就是典型的高危冠脉钙化情况。他因反复胸痛就医,冠脉造影检查发现,心脏三支主要供血血管均出现病变,其中最关键的供血血管——左前降支,近中段布满了厚厚的钙化斑块,血管狭窄程度高达95%,心脏供血已严重受限。更关键的是,93岁的高龄让他的血管变得壁厚、质硬、弹性差,形成了“高阻力钙化病变”,给治疗带来了极大难度。 ▲造影显示患者血管血管狭窄程度高达95%。 很多人会问,普通的心脏介入手术不能解决吗?我院心血管内科一区专家解释:“严重钙化的血管就像结满厚水垢的老旧水管,僵硬又狭窄,常规的球囊扩张术,就像用气球去吹硬邦邦的水管,根本无法将钙化斑块撑开,强行操作还可能导致血管撕裂、损伤,反而增加风险。” 对付硬钙化:“金刚钻”来帮忙 面对这种高难度的钙化病变,冠状动脉内膜旋磨术就成了针对性的治疗方式。针对冯伯的病情,医疗团队经反复评估后,决定采用这项技术为他治疗,而这项技术,也是目前应对坚硬冠脉钙化的常用微创手段之一。 冠状动脉内膜旋磨术的原理并不复杂,核心就是用“金刚钻”样的工具,精准磨掉血管内的坚硬钙化斑块。手术时,医护人员会通过微创方式,将一根顶端镶有微小钻石颗粒的橄榄型旋磨头,送入堵塞的血管内,让旋磨头以极高的速度旋转,将坚硬的钙化斑块研磨成直径小于5微米的微小微粒——这种微粒比红细胞还要小,会随着血液循环被人体自身的吞噬细胞清除,不会对身体造成额外伤害,从而打通堵塞的血管通路。 虽然原理简单,但这项手术对操作精度要求极高:既要彻底磨碎钙化斑块,打通血管通路,又要小心翼翼保护血管内壁,避免造成血管损伤。手术中,医疗团队全程精准操控旋磨头,顺利完成旋磨术后,又通过植入药物洗脱支架,进一步巩固治疗效果,防止血管再次狭窄。 术后恢复:老人终于不胸痛了 术后复查结果显示,支架贴合良好,原本严重堵塞的血管恢复了通畅,冯伯的胸痛症状缓解,心脏供血恢复正常,精神状态也日渐好转,最终顺利康复出院。 ▲支架植入术后,冠脉恢复正常供血。 结合这个案例,我们可以了解到一个重要的知识点:高龄并非复杂冠脉钙化介入治疗的绝对禁区。我院心血管内科一区主任医师陈文广表示,这类手术的成功,离不开术前精准的病情评估、术中娴熟的操作技巧以及多学科的密切配合,而这也为高龄冠脉钙化患者的治疗提供了可行的思路——经严格评估后,合适的微创技术可以有效解决这类心脏难题。 温馨提示: 正视血管钙化,及时就医 随着人口老龄化加剧,高龄、高危冠脉钙化患者越来越多,也让这类心脏问题受到更多关注。冠状动脉内膜旋磨术等微创技术的应用,不仅为这类患者提供了更多治疗选择,也让我们意识到,科学认识冠脉钙化、及时规范就医,才能更好地守护老年人群的“心”健康。 心血管内科一区简介 基本概况 我院心血管内科一区现有医护人员32名,开放床位46张,其中重症监护室(CCU)床位14张。科室配备数字减影血管造影机、血管内超声仪、血管内旋磨仪、主动脉内球囊反搏仪、心排血量监测仪等专业医疗设备,为临床诊疗工作提供硬件支持。 诊疗技术 科室在冠心病、心力衰竭、心律失常、主动脉夹层、心脏瓣膜病、心肌病、外周血管闭塞性疾病等心血管疾病的诊疗方面积累了丰富经验,针对急性心肌梗死、心源性休克、急慢性心力衰竭、主动脉夹层或动脉瘤、严重心律失常等急危重症病例,开展规范的诊断与救治工作。 临床工作中,科室常规开展心血管介入检查及治疗项目,包括冠脉支架植入术、冠脉血管内旋磨术、心脏射频消融术、主动脉腔内隔绝术、永久起搏器植入术、下腔静脉滤器植入术、肾动脉支架植入术、下肢动脉支架植入术等。 科室曾在“县域中国医院品牌专科评选”中获评第二名,先后获得“阳江市青年文明号”称号,连续多年被评为医院先进科室,团队始终秉持严谨务实的工作作风,为患者提供专业的医疗服务。 专家简介 陈文广 心血管内科主任医师,心血管内科一区主任、教授,心血管介入学科带头人、胸痛中心医疗总监。 担任广东省医师协会心脏病器械辅助治疗医师分会第三届委员会常务委员、广东省医师协会心血管内科医师分会第四届委员会委员、广东省卫生经济学会心血管疾病分会常务委员、广东省中医药学会心力衰竭专业委员会第二届常务委员、广东省基层医药学会中西医结合心血管专业委员会第二届常务委员、广东省中西医结合学会心血管介入专业委员会委员、广东省中医药学会心脏血脉专业委员会委员、广东省医师协会心脏起搏与电生理专医师分会第二届委员会基层医院心脏起搏与电生理专业组成员,阳江市医学会心脏介入分会第二届委员会副主任委员、,阳江市医学会心血管内科分会第二届委员会副主任委员、阳江市医师协会心内科医师分会第二届委员会副主任委员等。参与国家级临床科研项目1项,省级及市级临床科研项目多项;撰写著作多本,发表10多篇省级以上论文。 擅长领域:从事心血管疾病介入治疗10多年,累计有5000多例冠状动脉支架植入术(PCI)的手术经验。擅长冠心病、高血压、心衰、主动脉夹层、心脏瓣膜病、心律失常等心血管疾病的诊治,熟练掌握冠心病、左主干病变、多支血管病变、高危病变、钙化、分叉、慢性闭塞病变、临时及永久起搏器植入、主动脉覆膜支架腔内隔绝术、下腔静脉滤器植入、外周血管介入治疗等介入技术治疗。 崔 跃 心血管内科副主任医师,心血管内科一区副主任。 广东省医师协会高血压分会委员、阳江市医学会心血管分会常务委员、阳江市医学会心脏介入分会常务委员、阳江市医师分会心血管分会常务委员。参与国家级临床科研项目1项,市级临床科研项目3项;撰写著作1本,发表6多篇省级以上论文。曾多次到上级医院心血管内科进修学习,其中到中山大学第一附属医院进修心血管重症班,另先后三次到南方医院附属珠江医院进修学习心血管介入技术。 擅长领域:熟练掌握心血管介入技术,独立完成冠状动脉造影手术和冠状动脉介入手术,擅长心肌梗死、恶性心律失常、急重症心衰等的抢救。 黄 毅 心血管内科副主任医师,介入科副主任,胸痛中心秘书及协调员。 广东省胸痛中心协会委员、广东省介入学会结构性心脏病分会委员、广东省健康管理学会肺血管病专业委员会委员、阳江市医学会心血管内科分会常务委员、阳江市医学会心脏介入分会常务委员、阳江市医师协会心内科医师分会委员,阳江市医学会心脑同治分会常务委员。主持阳江市卫生健康局科技研究立项1项,主持阳江市科学技术局科技研究立项3项,参与阳江市科学技术局科技研究多项。主编《高血压及相关疾病现代诊疗》,发表国家级专业论文4篇、省级专业论文2篇。2010年毕业于广东医科大学临床医学专业,毕业后一直从事心血管内科工作,曾先后到南方医科大学珠江医院进修学习冠心病介入技术(PCI)和广东省人民医院心研所(国家班)进修结构性心脏病(包括先天性心脏病介入封堵、左心耳封堵、二尖瓣狭窄球囊扩张、肺血管病介入等)。 擅长领域:主要致力于冠心病介入、结构性心脏病介入(包括先天性心脏病介入封堵、左心耳封堵、二尖瓣狭窄球囊扩张、肺血管病介入等)、B型主动脉夹层介入、下肢动脉闭塞介入、高血压、急慢性心力衰竭、肺动脉高压的诊断与治疗。 许军国 普通内科副主任医师。 阳江市医学会心血管分会委员、阳江市医师分会心血管分会委员。1996年广东医学院临床医学毕业。曾到暨南大学第一附属医院进修重症医学科,2020年在中山大学附属第一医院进修心血管重症科CCU。 擅长领域:从事心血管疾病诊治工作25年,擅长心血管疾病重症治疗,在冠心病心肌梗死、高血压、心律失常、心力衰竭等疾病治疗上有丰富临床经验。 李昌利 心血管内科副主任医师。 阳江市医学会脑心同治分会第二届委员会常务委员、阳江市医学会心血管内科分会委员、阳江市医学会心脏介入分会委员、阳江市医师协会心内科医师分会委员。毕业于广东医学院(今广东医科大学),毕业后在阳春市人民医院工作至今。 擅长领域:擅长治疗高血压病、冠心病、心力衰竭、房颤、下肢静脉血栓等心血管疾病。 张智华 心血管内科副主任医师。 阳江市医学会脑心同治分会第二届委员会常务委员、阳江市医学会心血管内科分会委员、阳江市医学会心脏介入分会委员、阳江市医师协会心内科医师分会委员。毕业于广东医科大学临床医学专业,2016年到南方医科大学珠江医院进修学习冠心病介入技术。2021年在中山大学附属第一医院进修心血管内科。 擅长领域:擅长冠心病、高血压、心力衰竭、心律失常的诊断与治疗,熟练掌握冠状动脉介入操作及冠状动脉介入治疗技术。 滕 超 心血管内科主治医师。 阳江市医学会脑心同治分会第二届委员会常务委员、阳江市医学会心血管内科分会委员、阳江市医学会心脏介入分会委员、阳江市医师协会心内科医师分会委员。毕业于广西中医药大学,2019年到广东省人民医院进修学习冠心病介入技术。 擅长领域:擅长冠心病、高血压病、心力衰竭、下肢深静脉血栓形成等疾病的诊治。熟练掌握冠状动脉造影及冠状动脉介入治疗技术。 莫介超 心血管内科主治医师。 阳江市医学会脑心同治分会第二届委员会常务委员、阳江市医学会心血管内科分会委员、阳江市医学会心脏介入分会委员、阳江市医师协会心内科医师分会委员。毕业于广东医科大学临床医学专业,2016年到南方医科大学珠江医院进修学习心血管内科,2023年到中山医科大学附属第一医院进修心律失常介入技术。 擅长领域:擅长心律失常、冠心病、心力衰竭、高血压等疾病的诊断与治疗。 刘艺豪 心血管内科主治医师。 阳江市医学会脑心同治分会第二届委员会常务委员、阳江市医学会心血管内科分会委员、阳江市医学会心脏介入分会委员、阳江市医师协会心内科医师分会委员。毕业于广东医科大学临床医学专业,2020年在中山医科大学第一附属医院进修心血管内科。 擅长领域:从事心血管疾病诊治多年,擅长高血压病、急性心肌梗死、冠心病、心肌病、心律失常等疾病以及各种心脏急症、内科危重症的救治。 张杰亮 心血管内科主治医师。 阳江市医学会脑心同治分会第二届委员会常务委员、阳江市医学会心血管内科分会委员、阳江市医学会心脏介入分会委员、阳江市医师协会心内科医师分会委员。2015毕业于广东医科大学临床医学专业,2020年完成全国内科规范化培训。 擅长领域:擅长冠心病、高血压病、心力衰竭、急性心肌梗死、心律失常等疾病以及各种心脏急症、危重症的救治。 蓝昭海 心血管内科主治医师 2017年毕业于汕头大学临床医学专业,2021年完成全国住院医师规范化培训。 擅长领域:擅长冠心病、高血压病、心力衰竭、急性心肌梗死、心律失常等疾病以及各种心脏急症、危重症的救治。

















