我院神经内科成功为一位患者施行“急诊机械取栓术”
急性大面积脑梗死,尤其是心源性脑栓塞,起病急骤,症状严重,治疗难度大,预后差,特别是发病时间超过4.5小时,直接静脉溶栓,血管再通的成功率低,疗效欠佳,而溶栓后出血风险非常大,一旦出血,可能直接导致脑疝,甚至死亡,这是溶栓最严重的并发症。怎么办?别担心!我院已开展“急诊机械取栓术”,它可以明显提高血管再通率,为扩大治疗时窗、提高治疗效果带来了新希望。
急诊机械取栓术是通过介入技术,将取栓支架释放于闭塞动脉内血栓段,将粘附于支架的血栓取出,主要适用于急性颅内大动脉堵塞,其主要优点是,对适应症患者闭塞动脉再通率高达67%-100%,因无溶栓后溶栓药物残留,动脉再通后出血并发症相对较少,2015年该技术被北美和欧洲的卒中指南列入最高级别推荐。
病例分析:
患者YJ,男,45岁,因“突发头晕、右肢乏力5小时,加重3小时”于2016年2月16日2:30入院,入院时BP130/78mmHg,言清语晰右侧上下肢肌力Ⅴ—级,入院后予双抗、强化他汀等治疗,患者于05:30左右出现烦躁、混合性失语,口角向左歪斜,伸舌偏右,右侧上下肌张力稍高,肌力约1级,右侧巴氏征阳性。考虑为进展型卒中,予复查头颅CT未见确切急性脑梗塞,但左侧大脑中动脉主干全程密度显著升高,查MRI示左侧纹状体较大面积超早期脑梗塞。患者病情符合急诊机械取栓指征。
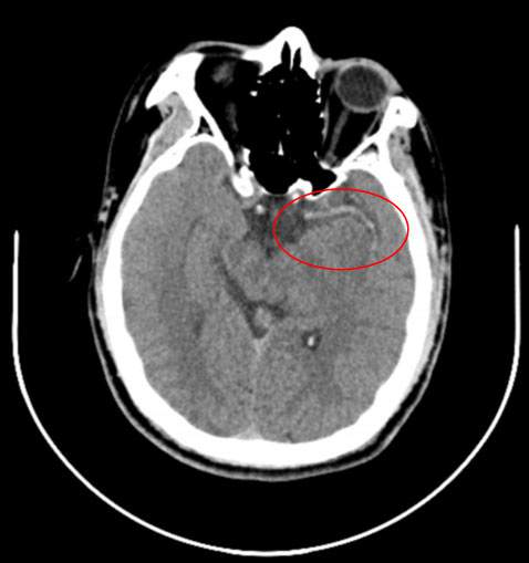
急诊复查CT:


未见确切急性脑梗塞,但左侧大脑中动脉主干全程密度显著升高,提示闭塞。


左侧纹状体大面积超早期脑梗塞



2月24日,患者言语清晰,行走自如,病情基本恢复正常,办理出院。


扫一扫,加关注!
点击前往:公众号页面
急诊机械取栓术是通过介入技术,将取栓支架释放于闭塞动脉内血栓段,将粘附于支架的血栓取出,主要适用于急性颅内大动脉堵塞,其主要优点是,对适应症患者闭塞动脉再通率高达67%-100%,因无溶栓后溶栓药物残留,动脉再通后出血并发症相对较少,2015年该技术被北美和欧洲的卒中指南列入最高级别推荐。
病例分析:
患者YJ,男,45岁,因“突发头晕、右肢乏力5小时,加重3小时”于2016年2月16日2:30入院,入院时BP130/78mmHg,言清语晰右侧上下肢肌力Ⅴ—级,入院后予双抗、强化他汀等治疗,患者于05:30左右出现烦躁、混合性失语,口角向左歪斜,伸舌偏右,右侧上下肌张力稍高,肌力约1级,右侧巴氏征阳性。考虑为进展型卒中,予复查头颅CT未见确切急性脑梗塞,但左侧大脑中动脉主干全程密度显著升高,查MRI示左侧纹状体较大面积超早期脑梗塞。患者病情符合急诊机械取栓指征。
急诊复查CT:


未见确切急性脑梗塞,但左侧大脑中动脉主干全程密度显著升高,提示闭塞。
急诊MRI:


左侧纹状体大面积超早期脑梗塞
2月16日,DSA显示左侧大脑中动脉起始段闭塞,予机械取栓后,左侧大脑中动脉恢复血流灌注。
DSA:
DSA:


手术前左侧大脑中动脉起始段闭塞,完成机械取栓后左侧大脑中动脉恢复血流灌注。
2月18日,复查CTA见左侧大脑中动脉仍然通畅,术后患者病情持续缓解。
复查CTA:
复查CTA:

2月24日,患者言语清晰,行走自如,病情基本恢复正常,办理出院。
神经内科介入治疗团队
我院神经内科从2015年开展脑血管介入治疗以来,不断学习开展新技术,学科带头人郭艺华副主任医师带领介入团队,积极奉献、锐意进取,能全天候24小时独立开展机械取栓工作,为大面积脑梗死患者开辟了新的生命通道。
我院神经内科从2015年开展脑血管介入治疗以来,不断学习开展新技术,学科带头人郭艺华副主任医师带领介入团队,积极奉献、锐意进取,能全天候24小时独立开展机械取栓工作,为大面积脑梗死患者开辟了新的生命通道。

郭艺华,副主任医师
神经内科主任、学科带头人,2013年获得广东省神经介入准入资格。曾在中山市小榄人民医院等三甲医院工作,先后到华中科技大学附属同济医院、广东省人民医院进修神经内科专业。擅长治疗各类神经科普通疾病与疑难杂症(如:运动功能障碍、头晕头痛、周围神经病及重症肌无力等),尤擅长脑血管疾病介入诊断与治疗、脑出血微创清除术等,目前已顺利完成脑血管介入手术近800例。

余练
神经内科主治医师,毕业于广东医学院临床医学专业。毕业后从事神经内科工作,先后到湖南长沙湘雅医院进修学习神经内科疾病的诊断与治疗、湖北省十堰市人民医院进修学习脑血管介入诊断和治疗(DSA)、广东省人民医院进修神经介入治疗。对神经内科疑难疾病的诊断治疗有丰富经验,擅长对于脑血管病的诊疗,脑出血的微创治疗以及脑梗塞治疗。
详细可订阅本院官方微信公众号:YCPH120
神经内科主治医师,毕业于广东医学院临床医学专业。毕业后从事神经内科工作,先后到湖南长沙湘雅医院进修学习神经内科疾病的诊断与治疗、湖北省十堰市人民医院进修学习脑血管介入诊断和治疗(DSA)、广东省人民医院进修神经介入治疗。对神经内科疑难疾病的诊断治疗有丰富经验,擅长对于脑血管病的诊疗,脑出血的微创治疗以及脑梗塞治疗。
详细可订阅本院官方微信公众号:YCPH120

扫一扫,加关注!
点击前往:公众号页面
上一篇:多学科联合读片,扬长补短,共同提升[ 03-02 ]
下一篇:小小“止痛膏”引发祸端[ 03-10 ]



