【健康科普】说说髋关节炎那些事
关节炎是老年人的常见病,其中,在60岁以上的骨关节炎患者中髋关节炎占了30%,且女性比男性更易得。前段时间,我院脊柱/关节/骨病科就收治了一位反复双侧髋关节疼痛二十多年的老年患者,该患者多年来反复臀外侧、腹股沟等部位疼痛,但一直没有得到正规治疗,直到最近痛得无法行走才到我院就诊。
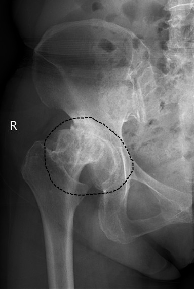
从图中所圈处对比不难发现,患者髋关节炎X线片显示:骨赘形成,髋臼缘增生,髋关节间隙变窄。关于髋关节炎,你了解多少?

(髋关节炎)

(正常髋关节)
什么是髋关节炎?
髋关节(也就是老百姓通常说的胯部或者大腿根部关节)包括髋臼、股骨头两部分,髋关节炎包括髋臼和股骨头软骨磨损。早期髋关节炎表现为髋关节、大腿甚至涉及膝关节的酸胀痛,劳累后加重,休息可改善,或会影响行走。发展到后期会出现疼痛加重,伴有跛行、髋关节屈曲和旋转受限,有的甚至出现静息痛(不活动也痛),夜间痛等。本病起病隐袭,发病缓慢,有长期劳损史,多见于中老年患者。
髋关节炎患者该注意些什么?
早期髋关节炎的治疗方法包括药物(消炎止痛药物、软骨营养素、中成药等)、控制体重、避免关节负荷过重等。
髋关节炎患者如果不适当运动,体重增加反而会增加髋关节的负担,建议患者可以选择游泳、踩自行车、散步等运动,但是爬山、走楼梯、下蹲等对关节负荷较重的运动尽量避免。
髋关节炎如何治疗?
1、一般治疗:对于轻微的关节炎,首先要避免髋关节再损伤,疼痛严重时应休息,制动患肢以减轻疼痛和防止关节畸形。
2、药物治疗:应用保护软骨的药物,如国产的氨基葡萄糖和硫酸软骨素或进口的movefree、各种非甾体镇痛抗炎药以缓解疼痛,透明质酸钠关节内注射科润滑关节并保护关节软骨。需要注意长期服用非甾体镇痛抗炎药对消化道和心脑血管系统有不良反应。
3、理疗及体疗:对于轻微疼痛患者在缓解期内可进行适当的运动,避免骨质疏松、肌肉萎缩。
4、手术治疗:髋关节炎症状十分严重,一般治疗、药物治疗无效的,且影响患者的日常生活,应该考虑手术干预。我院脊柱/关节/骨病科已能熟练开展人工股骨头置换术、人工全髋置换术、髋关节翻修术等关节、脊柱手术等,能对关节炎患者进行有效治疗。
医学指导:脊柱关节骨病科主任 黄平
供稿:脊柱关节骨病科医生 陈志明



