【技术聚焦】我院胸痛中心、卒中中心联合成功抢救急性胸痛和急性卒中患者
近日,我院胸痛中心、卒中中心联合抢救一位急性胸痛、急性卒中患者,充分发挥胸痛中心、卒中中心优势,及时开通血管,挽救生命,减少致残、致死率,助患者恢复自理能力,早日回归家庭。
患者林伯,有高血压、高血脂病史,嗜好吸烟,于2022年11月13日上午7:00无明显诱因下出现胸痛伴大汗淋漓,胸痛一直持续不能缓解,8:05到当地卫生院就诊,行心电图检查提示:ST-T改变,未排除急性下壁心肌梗塞。当地卫生院急诊医生立即上传心电图至我院胸痛中心微信群,我院胸痛中心远程会诊诊断患者为“急性ST段抬高型下壁心肌梗死”,紧急予口服“一包药”(阿司匹林300mg+替格瑞洛1,并启动网络医院绿色通道,与患者家属沟通后同意介入治疗,启动我院胸痛中心导管室,直接双绕紧急手术。
患者于9:05转出当地卫生院,9:27到我院大门,绕行急诊和CCU直到导管室。此时心血管中心一区陈文广主任医师、崔跃副主任医师、滕超主治医师及导管室团队已早早等候在导管室。患者到达导管室后紧急穿刺、造影,见右冠全程弥漫性狭窄60%-90%,虽未见急性闭塞,但患者胸痛症状仍明显,肌钙蛋白升高,考虑右冠严重痉挛导致缺血(变异型心绞痛)。予注入硝酸甘油后,复查造影提示右冠中远段轻度狭窄,此时患者胸痛完全缓解,予结束手术,转回CCU继续监护。

▲右冠全程弥漫性狭窄60%-90%

▲注入硝酸甘油后右冠解痉舒张

▲胸痛中心团队手术中
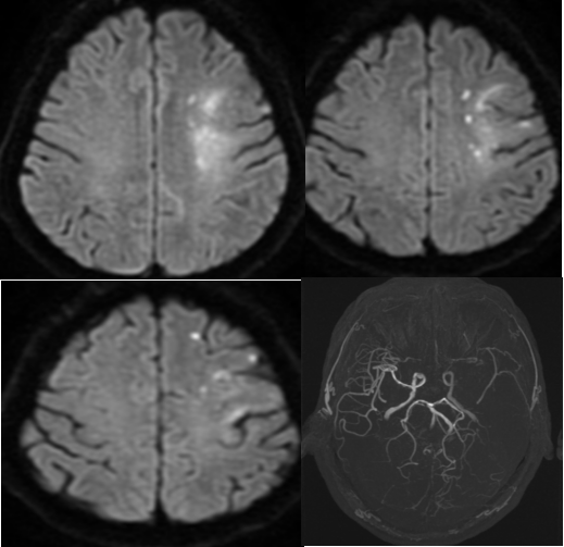
患者转回CCU监护生命体征平稳,但于下午约16:50出现嗜睡、失语、右侧肢体无力,请脑科中心二区刘添副主任医师急会诊,查看患者完全性失语,右侧肢体肌力0级,无恶心、呕吐,考虑急性缺血性脑卒中。急查颅脑核磁共振检查见:左颞叶、半卵圆中心、放射冠、岛叶多发急性梗死;磁共振血管造影见:左侧大脑中动脉闭塞、双侧大脑前动脉未显影,定位左侧大脑半球,责任血管为左侧大脑中动脉。综合检查,考虑患者大血管闭塞,静脉溶栓效果不佳,建议跨过溶栓,直接血管内取栓治疗。

▲MRI左侧大脑半球急性梗死,MRA左侧大脑中动脉闭塞,双侧大脑前动脉未显影
患者刚经历急性心肌缺血,现又出现急性脑梗死,祸不单行,雪上加霜,如不及时救治,患者将面临严重残疾,甚至直接死亡。患者家属深知患者病情危重,对我院心脑血管救治技术充分肯定、信赖,迅速签字同意了急诊取栓手术方案。
患者再次送入导管室,余练副主任医师、刘添副主任医师紧急行造影见:左侧大脑中动脉闭塞、双侧大脑前动脉缺失,经微导丝、微导管“首过效应(First-Pass Effect)”证实为颅内动脉粥样硬化狭窄继发的大血管闭塞,予球囊扩张成形术,两次扩张后血管成形良好,前向血流3级,无需进一步植入支架。

▲卒中中心团队手术中

▲术前左侧大脑中动脉闭塞

▲术后左侧大脑中动脉复通
患者术后即刻复查头CT见造影剂少许外渗,第二天复查CT见造影剂外渗伴蛛网膜下腔出血,脑肿胀明显,考虑血管再通高灌注引起,予控制血压、脱水、解痉、神经保护、抗感染、康复理疗等,同时动态观察病情变化,精准执行高危药物的使用,加强营养摄入,全面落实基础护理,避免误吸、药物外渗及卧床并发症的发生。2周后患者出血吸收,脑肿胀消退,神志清,对答切题,经过早期个性化康复,林伯右侧肢体肌力恢复至4+级,顺利康复出院。

▲术后CT见造影剂外渗、蛛网膜下腔出血、脑肿胀

▲肌力恢复至4+级,康复出院
正所谓“心内救命,神内渡劫”,林伯从出现胸痛,再到急性脑梗死,经历心肌缺血、脑血缺血、高灌注出血、脑肿胀、肺感染五道关卡,每一关几乎都可致命。我院胸痛中心、卒中中心团队通过自身优势,畅通绿色通道,争分夺秒,接力生命棒,虽然关关难,但是关关闯过,最终帮助患者顺利康复出院。临出院时,林伯感概万分:“感谢人民医院给了我第二次生命!”
近年来,我院高度重视胸痛中心、卒中中心建设,将胸痛中心、卒中中心建设纳入医院中心工作,整合相关科室资源,进行多学科团队合作,制定完善各项规章制度,不断优化胸痛患者和卒中诊治流程和绿色通道,促进胸痛中心、卒中管理日益科学化、精细化。同时与多家基层医疗机构建立了联合救治网络,形成院前院内联动机制,分秒必争,全力保障人民生命健康安全
在此,我们也提醒广大群众,如出现胸闷、胸痛、气促等,或出现口角歪斜、言语欠清、肢体乏力麻木等,可能出现急性心梗、脑卒中了,要及时拨打我院急救电话7799120、一键启动胸痛电话18926310575、一键启动卒中电话18926310576,及时到胸痛中心、卒中中心救治。


陈文广
心血管中心一区主任、心血管介入学科带头人、胸痛中心医疗总监、心血管内科主任医师。
从事心血管内科临床工作26年,曾多次到在广东省人民医院进修学习;参与国家级临床科研项目1项,省级及市级临床科研项目多项;撰写著作多本,发表10多篇省级以上论文;现任广东省传统医学会心脏血脉病专业委员会常务委员、广东省中医药学会心力衰竭专业委员会常务委员、广东省医师协会心血管内科医师分会第三届委员会委员、广东省医师协会心血管介入医师分会委员 、广东省医师协会心脏病器械辅助治疗医师分会第二届委员会委员、广东省医师协会心脏起搏与电生理专医师分会第二届委员会基层医院心脏起搏与电生理专业组成员、广东省中西结合学会心血管介入委员会委员 、广东省中医药学会心血管专业委员会委员 、广东省中西结合学会心脏康复委员会委员、广东省中西结合学会双心委员会委员 、广东省中西结合学会高血压委员会委员 、广东省医院协会医学影像中心管理专业委员会委员。阳江市医学会心血管分会副主任委员、阳江市医学会心脏介入分会副主任委员、阳江市医师分会会心血管分会副主任委员等。从事心血管疾病介入治疗10多年,累计有4000多例冠状动脉支架植入术(PCI)的手术经验。擅长冠心病、高血压、心衰、主动脉夹层、心脏瓣膜病、心律失常等心血管疾病的诊治,熟练掌握冠心病、左主干病变、多支血管病变、高危病变、钙化、分叉、慢性闭塞病变、临时及永久起搏器植入、主动脉覆膜支架腔内隔绝术、下腔静脉滤器植入、外周血管介入治疗等介入技术治疗。
余 练
脑科中心二区主任,神经内科副主任医师。
毕业于广东医学院临床医学专业,毕业后从事神经内科工作,曾到湖南长沙湘雅医院神经内科进修学习,2010年底到湖北省十堰市人民医院进修学习脑血管介入诊断和治疗(DSA)。2015年到广东省人民医院进修学习神经内科学习(脑血管介入诊断和治疗(DSA))。对神经内科疑难疾病的诊断治疗有丰富经验,擅长脑血管病的介入治疗。
崔 跃
心血管中心一区副主任,心血管内科副主任医师 。
毕业于广东医科大学临床医学专业,毕业后一直从事神经内科工作。熟练掌握神经内科常见病、多发病的诊断、治疗。2016年曾到广东省人民医院进修学习神经介入。擅长脑血管疾病的介入诊断和治疗。
刘 添
脑科中心二区副主任,神经内科副主任医师。
毕业于广东医科大学临床医学专业,毕业后一直从事神经内科工作。熟练掌握神经内科常见病、多发病的诊断、治疗。2016年曾到广东省人民医院进修学习神经介入。擅长脑血管疾病的介入诊断和治疗。
滕 超
心血管内科主治医师。
毕业于广西中医药大学,擅长冠心病、高血压病、心力衰竭、下肢深静脉血栓形成等疾病的诊治。熟练掌握冠状动脉造影及冠状动脉介入治疗技术。



