【学思想 重实践】我院成熟开展超声引导下乳腺肿物穿刺活检
近年来,随着女性生理和心理压力日渐增大,乳腺癌发病率逐年增长,已成为威胁女性健康的最大杀手,且趋于年轻化发展,对于怀疑乳腺恶性肿瘤的患者,临床迫切需要对其进行早诊断、早治疗。近年来,我院积极开展超声介入技术,先后开展了几十项新技术、新项目,其中就包括超声引导下乳腺肿物穿刺活检术。目前我院超声一科已成熟开展超声引导下乳腺肿物穿刺活检,以其安全、精准、微创、高效得到了临床医生及患者的一致好评。
一、什么是超声引导下乳腺穿刺活检?
介入超声就是在超声图像的实时引导下将特殊的针具从体表穿刺进入靶器官或者病灶内进行穿刺、置管、抽吸等,可以看作是超声检查的高级进阶,它的优势在于定性诊断和微创治疗,可以避免某些外科手术,达到与外科手术相当的效果,已经成为微创领域的支撑技术之一。只要在超声下能清晰显示的病变,几乎都可以行超声介入诊断或治疗。
▲右侧乳腺肿物大小约23mm×19mm×21mm,BI-RADS分类:5类
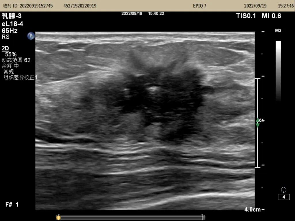
▲实时穿刺图像
超声引导下乳腺穿刺活检就是用直径约1mm穿刺针在超声引导下穿入乳腺肿物内,取出病变组织进行病理检查明确诊断。只有确定了肿物的性质,才可以根据病理结果选择相对应的治疗方式,达到早诊断早治疗的目的。
二、超声引导下乳腺穿刺活检的优势有哪些?
时间短,可在局麻下完成,术后病人经观察30分钟无不适后可回家;不需要外科手术,皮肤没有切口;对组织损伤小,没有剧痛;术后青肿或者伤痕,不会产生永久性瘢痕;从整体上不影响乳腺的美观;病人花费低,也能为临床提供准确的诊断与定位。
三、什么情况需要做超声引导下乳腺穿刺活检?
1. 可触及的较大实质性肿块,临床怀疑恶性需明确诊断者。
2. 超声提示乳腺BI-RADS 4类及以上或部分3类病变,需要明确诊断者。
3. 核磁或钼靶提示可疑乳腺恶性病变者。
4. 超声提示乳腺良性肿瘤,旋切或消融治疗术前需明确诊断者。
![]()
.jpg)
我院超声一科位于行政楼二楼,主要承担我院门诊和住院患者的超声检查。超声一科经过多年来的高速发展,在技术实力和设备方面,均处于本市领先水平。专科分为超声介入组、腹部组、妇产科组、浅表及周围血管组等专业小组,率先在阳春地区开展超声介入手术,建立超声介入门诊。目前设有8间诊室,2间超声介入手术室,1间留观室,拥有飞利浦EPIQ7、飞利浦EPIQ5、日立大二郎神等高端彩色多普勒超声诊断仪。现有医护人员10人,其中副主任医师3人。目前,超声一科开展多种超声检查诊疗项目:
一、介入超声及超声引导下微创治疗:
1.粗针穿刺组织活检:乳腺、肝脏、脾脏、胰腺、肾脏、肺脏、胸膜、腹膜后、淋巴结、四肢软组织包块等;
2.细针穿刺细胞学活检:甲状腺、甲状旁腺、淋巴结等;
3.穿刺置管:胸腔积液穿刺置管、肺脓肿穿刺引流置管、腹腔积液穿刺引流置管、腹部脓肿穿刺置管引流、体表皮下局部脓肿置管引流、盆腔囊肿置管引流、经皮肝穿胆道置管引流术、经皮经肝胆囊穿刺置管引流术等;
4.造瘘置管:肾积水造瘘置管引流、无积水肾造瘘、膀胱造瘘;
5.硬化治疗:血管瘤硬化治疗、经腹巧克力囊肿硬化治疗、经阴道巧克力囊肿硬化治疗、乳腺囊肿等其他囊肿硬化治疗;
6.消融治疗:肝脏、甲状腺、乳腺、子宫肌瘤、子宫腺肌症等脏器肿瘤消融治疗。
二、眼部、涎腺、甲状腺、阴囊、乳腺、腹部、泌尿、妇产科、肌肉骨骼系统、心脏、颈部血管、外周血管等系统超声检查。
三、 肝、胆囊、脾脏、双肾、前列腺等脏器超声造影。
四、妇科、产科胎儿四维超声、早孕期(孕11+ -13+周)染色体异常特征筛查等产前超声诊断。
五、床边超声、术中超声、经阴道超声、经直肠超声等。
![]()
李学应
超声诊断主任医师,医院党委书记,阳江市人民代表大会第七届代表,中共阳江市代表大会第七次代表,广东省“第十二届广东省党代表”;2009年、2014年、2017年分别被阳江市委组织部评为阳江市第四批、第五批、第六批、第七批市管拔尖人才,多次被评为医院及阳春市、阳江市的先进工作者、优秀共产党员及年度考核优秀个人和等次,2016年度获评广东医院优秀院长、获享国务院政府特殊津贴,2017年度获评全国卫生计生系统先进工作者,2018年获“阳江最美医生”提名奖和第二届“广东好医生”提名奖,2021年获评广东省优秀党务工作者;多次参加省级以上学术会议,撰写出《颈部血管彩色多普勒超声检查在老年缺血性脑卒中患者中的应用价值》等近30篇专业论文,出版了医学专著《子宫内膜异位症现代治疗》《超声诊断学》《超声诊断与技术应用》《心血管超声读片》,多项科研成果获阳江市、阳春市科技进步奖;担任《中华现代影像学杂志》及《中华现代临床医学杂志》专家编辑委员会常务编委;是南方医科大学兼职教授,广州中医药大学教授,广东省医疗行业协会医学影像管理分会、广东省基层医药学会县区医院分会、广东省医疗行业协会医学影像管理分会副主任委员,阳江市医学会影像技术分会第一届委员会主任委员和多个市级技术鉴定专家库成员,并在多个省级以上的专业委员会任理事、常委。
利 建
超声一科主任,超声医学副主任医师。2007年7月于广东医科大学医学影像学全日制本科毕业。2010年到广东省人民医院心研所进修心脏彩超;2017年到广州市妇女儿童医疗中心进修三维彩超;2018年参加省卫计委县级医院学科带头人项目,到中山大学孙逸仙纪念医院进修。2021年9月到中山大学第一附属医院进修超声造影、超声介入半年。主持科技局立项2项,参与市级科研立项5项;在省级、国家级专业期刊发表论文4篇;学术大会论文2篇,分别录入《2012年度、2014年度中国超声医学学术大会论文汇编》,并入选2014年度中国超声医学学术大会优秀论文。参编《临床超声诊断实践和介入》一书。擅长腹部、心脏、外周血管、浅表器官及妇、产科超声诊断及鉴别诊断、造影、介入治疗,特别对心血管、骨骼疑难病例及产科胎儿复杂畸形的诊断、介入治疗有独到之处。
目前学术任职:1.阳江市医师协会超声分会副主任委员;2.广东省医疗行业协会超声医学管理分会常务委员;3.广东省精准医学应用学会超声医学分会常务委员;4.广东省器官医学与技术学会超声医学专业委员会常务委员;5广东省泌尿生殖协会超声医学分会委员;6.阳江市医学会影像技术分会常务委员兼学会秘书;7.广东省基层医药学会超声诊疗专业委员会委员;8.广东省医院协会超声医学学科建设专业委员会委员;9.广东省医学教育协会超声医学专业委员会委员;10.中国医师协会超声分会网络咨询委员会委员;11.广东省临床医学学会肿瘤微创诊疗专业委员会青年委员;12.广协省医院协会医学影像中心管理专业委员会委员;13.广东省医疗行业协会医学影像管理分会委员。
彭 刿
超声一科副主任,超声医学副主任医师。1993年7月于河北医科大学医学影像专业毕业。毕业后就职于四川省攀钢(集团)总医院,长期从事核医学专业、超声专业,曾多次在四川大学华西医院以及云南省第一人民医院进修相关专业,多次参加相关专业的业务培训和专题学习班,对超声诊断及介入诊疗进行了系统的学习。长期从事常规超声检查业务,积累了丰富的经验。近年来开展多项超声介入诊疗新项目,惠及了广大患者。在国家核心期刊发表超声介入专业论文及论著多篇。目前学术任职:广东省泌尿生殖协会超声医学分会第二届委员会委员。



