多学科携手 规范诊疗护航 用心守护咯血患者健康
在肺部疾病诊疗中,支气管血管畸形虽不常见,但由此引发的反复发作性咯血,会对患者生命健康构成严重威胁。近日,我院肿瘤科二区联合呼吸与危重症医学科、麻醉科,通过多学科协作与规范诊疗,运用支气管动脉造影+栓塞术,成功为一名42岁的严重咯血患者解除危机。

该患者因“咯血2天”入院,入院后医护人员迅速开展全面检查。胃镜检查未发现胃溃疡出血迹象,CT检查也未显示支气管扩张,但患者持续大量咯血,即便使用垂体后叶素等止血药物,病情仍未得到有效控制,甚至无法平卧,随时面临呼吸道堵塞、窒息的生命危险。面对这一危急情况,肿瘤科二区和麻醉科专家紧急会诊,综合评估后决定为患者实施经口支气管插管全麻下支气管动脉造影+栓塞术治疗。

▲入院CT见右下肺多发炎症,未见明显支气管扩张征象
手术过程中,医疗团队规范操作。术中造影清晰显示,患者右侧支气管动脉存在明显扩张迂曲畸形,且有广泛明显的造影剂外渗出血影。随后,医生小心操作,将超选导管送至右侧出血动脉主干,采用1个44mm规格、1个43.7mm规格弹簧圈进行动脉栓塞,再运用适量明胶海绵颗粒进一步栓塞支气管动脉,直至血流停滞。再次造影确认出血影完全消失,左侧肺支气管动脉未见异常。整个手术过程顺利,术后患者恢复良好,症状平稳,最终康复出院。

▲术中造影见右肺支气管动脉迂曲畸形,可见广泛明显造影剂外渗出血影

▲超选导管至出血动脉主干,予弹簧圈行动脉栓塞

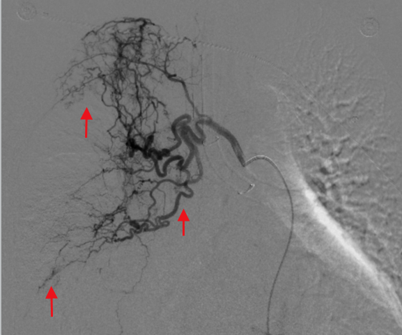
▲保留正常肋间动脉供血

▲再造影见右肺出血影消失
支气管血管畸形的治疗需依据患者具体情况选择方案。药物治疗如止血药垂体后叶素、血管收缩剂肾上腺素等,对轻度出血患者可缓解症状,但无法根治;对于药物治疗无效或病情严重的患者,栓塞治疗通过栓塞畸形供血血管实现止血,成为重要治疗手段;而药物和栓塞治疗均无效时,手术切除则是备选方案。此次采用的介入栓塞治疗,具有微创、高效的特点,成功挽救了患者生命。
近年来,血管介入技术凭借独特优势在医疗领域应用日益广泛。在创伤、肿瘤等疾病治疗中,微创介入技术能减少患者创伤、缩短恢复时间,提升治疗效果。我院肿瘤科二区持续提升技术能力,目前已常规开展肿瘤介入栓塞化疗、动静脉血栓等周围血管疾病治疗、消化道出血治疗、咯血治疗等多项技术。
肿瘤科二区
基本概况
广东省“十三五”中医特色专科、阳江市“十二五”特色专科、阳江市“十四五”临床重点专科建设项目、广东省县级肿瘤防治中心、在阳江地区率先获列为“广东省癌痛规范化治疗示范病房”。
肿瘤科二区拥有医护人员18名,开设床位40张。拥有先进数字减影血管造影机、直线加速器、射频消融机、B超机等一批先进诊疗设备。
诊疗技术
专科以肿瘤和血管疾病的微创介入治疗为特色,开展的技术有:
1.恶性肿瘤微创治疗:介入治疗、微波消融治疗。
2.肿瘤化学治疗:恶性肿瘤常规化疗、术前化疗、术后化疗、姑息性化疗及胸腹腔灌注化疗等。
3.肿瘤放射治疗。
4.肿瘤免疫治疗。
5.肿瘤靶向治疗。
6.肿瘤内分泌治疗。
7.肿瘤中西医结合治疗及肿瘤姑息、康复等治疗。
8.其他技术:支气管扩张、消化道出血等介入止血、外周血管支架植入术、输液港植入术、PICC管植入术、经皮穿刺肿瘤活检术、经皮穿刺置管引流术等。

专家简介

李子杰
中医内科主任中医师,肿瘤科二区主任。
先后到广州中医药大学附属一院、广东省人民医院、中山大学第五附属医院肿瘤化疗、介入治疗及中医治疗进修学习。广东省中西医结合肿瘤分会常委、广东省医学会介入治疗分会常委、广东省中西医结合介入分会常委、广东省中西医结合肿瘤心理学会常务常委。主持市级科研立项2项,参与省、市级科研立项8项,曾在全国核心期刊发表文章1篇,核心期刊发表文章4篇。曾获得“阳春好医生”提名奖。
擅长领域:擅长肿瘤介入治疗和中西医结合治疗肿瘤,从局部到整体作出个体化的治疗方案,达到增效减毒,提高生活质量及治疗质量。擅长介入治疗血管性疾病,包括血管闭塞、出血、狭窄、血管瘤、血管痿。

王柳飞
肿瘤内科主任医师,肿瘤科二区副主任。
曾到南方医科大学附属珠江医院进修学习、中山大学附属肿瘤医院培训学习。中国抗癌协会临床肿瘤学协作专业委员会委员、广东省抗癌协会癌症康复与姑息治疗专业委员会委员、广东省基层中西医乳腺专业委员会委员、粤西分会第一届肿瘤委员、姑息治疗专业委员会委员、阳江市医师协会肿瘤内科分会常务委员、阳江市医学会第二届肿瘤学分会常务委员、阳江市医学会乳腺病学分会第二届委员会常务委员。撰写发表国家级及省级杂志论文10篇,负责地级市科研课题3项:《局部热疗联合化疗治疗恶性肿瘤临床应用研究》(获得阳江市科技进步奖第三等奖)、《氩氦刀冷冻消融术联合节拍化疗治疗巨大型肝癌的临床应用研究》和《T淋巴细胞亚群的检测在恶性肿瘤中的临床应用研究》。
擅长领域:擅长肿瘤疾病的诊治和肿瘤介入,尤其擅长乳腺癌综合治疗及内分泌治疗,独立主持开展肿瘤科经皮穿刺肿瘤活检术、局部热疗、体外循环热灌注化疗等。
王勇
中医内科学主治医师,硕士研究生。
曾先后到中山大学附属孙逸仙纪念医院、广东医科大学附属医院、广州医科大学附属肿瘤医院进修学习。广东省抗癌协会癌症康复与姑息治疗专业委员会会员粤西分会第一届肿瘤会员、阳江市医学会第一届肿瘤学分会会员。
擅长领域:擅长肿瘤疾病的诊治肿瘤介入,尤其是肝癌等实体瘤的介入治疗及消化道出血疾病的介入治疗,独立主持开展肿瘤科经皮穿刺肿瘤活检术、局部热疗、消融术及体外循环热灌注化疗和氩氦刀冷冻消融工作。

严伟红
肿瘤内科副主任医师。
广东医学院临床医学专业毕业,曾于2008年到南方医科大学附属珠江医院进修学习。广东省临床医学学会肿瘤微创诊疗专业委员会委员、广州抗癌协会肺癌专业委员会委员,阳江市医学会第一届肿瘤学分会委员。在全国及省级医学刊物上正式发表论文6篇,负责地级市科研课题2项。
擅长领域:从事临床工作近20年,擅长肺癌、肝癌、消化道肿瘤、乳腺癌等恶性肿瘤综合治疗。

黎明
中西医结合内科学主治医师,硕士研究生。
本科就读于黑龙江中医药大学,硕士研究生就读于广州中医药大学。
擅长领域:熟悉肺癌、肝癌、肠癌、乳腺癌、胃癌等恶性肿瘤综合治疗及中医药治疗。



