医德医风|心内二区专业诊疗助患者康复 锦旗致谢见证医者仁心
【写于开篇】在我院的一线医护工作中,每天都发生着许许多多动人的故事:一次成功的救治,一次辛苦的手术,乃至一句叮嘱,一个微笑,落在患者和家属眼里,都能化作无限的感动,流诸笔端,便成了一封/面沉甸甸的感谢信/锦旗。为发现隐于感谢信/锦旗中既平凡入微又伟大可敬的故事,我们特开设“医德医风”专栏,不定期推送医德医风正能量。
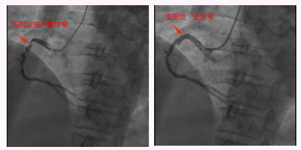
锦旗赠送人:王阿姨及家人。 受表扬者:心血管内科二区刘富湘及全体医护人员。 近日,我院心血管内科二区收到一份特殊的感谢——刚顺利康复出院的王阿姨,将一面印着“医术精湛 务实笃行 真诚敬业 仁心仁德”的锦旗送到医护人员手中,以此表达对医护团队诊疗与照护的认可。 今年60岁的王阿姨有高血压、糖尿病病史,此前因心悸胸闷不适7天入院,症状呈阵发性发作,还伴有压榨感。心电图提示ST改变,结合其基础疾病与症状特点,心血管内科二区主任刘富湘及主管医师罗向卫判断,王阿姨可能患有不稳定型心绞痛,存在进展为心肌梗死的风险。 为进一步明确病情,医护团队迅速为其安排冠脉造影术,结果显示:王阿姨右冠狭窄85%-95%,远端侧枝供血前降支远端;前降支近段硬化伴狭窄90%;回旋支远端狭窄30%。考虑到王阿姨患有糖尿病,若一次手术处理两条血管,不仅手术时间长、单次造影剂用量大,还可能损伤肾功能,且手术风险会显著增高。经过仔细考量,团队最终制定分次手术方案,优先处理狭窄最严重的右冠,并植入一枚支架。 ▲右冠近段支架前后 ▲前降支近段支架前后 一个月后,王阿姨恢复良好,团队再次为其完成前降支手术。术后,王阿姨两支冠脉恢复充足血流,未出现心肌梗死、心衰等不良后果,肾功能也无明显损害,心悸胸闷症状明显缓解,顺利康复出院。 从入院时的焦虑不适,到出院时的轻松安心,王阿姨的好转离不开心内二区医护人员的专业诊疗与悉心照护。这面锦旗,是患者对团队技术与服务的肯定,更是团队继续守护百姓心脏健康的动力。





